Restore Stability and Comfort with Dental Implants at Royal Dental Care
Are your dentures slipping or causing discomfort while eating or speaking? At Royal Dental Care in Schaumburg and Norridge, IL, we offer a lasting solution — implant-supported dentures. This treatment merges the aesthetics of dentures with the strength of dental implants, delivering a secure, natural-looking smile.


Why Choose Implant-Supported Dentures?
Even premium dentures can loosen over time due to jawbone changes. By anchoring dentures with dental implants, you benefit from:
- No more shifting or slipping while eating
- No adhesives required
- Long-lasting fit with fewer adjustments
- Preserved jawbone structure for a youthful appearance
Looking for a reliable implant dentist in Schaumburg or Norridge? We’re here to help.
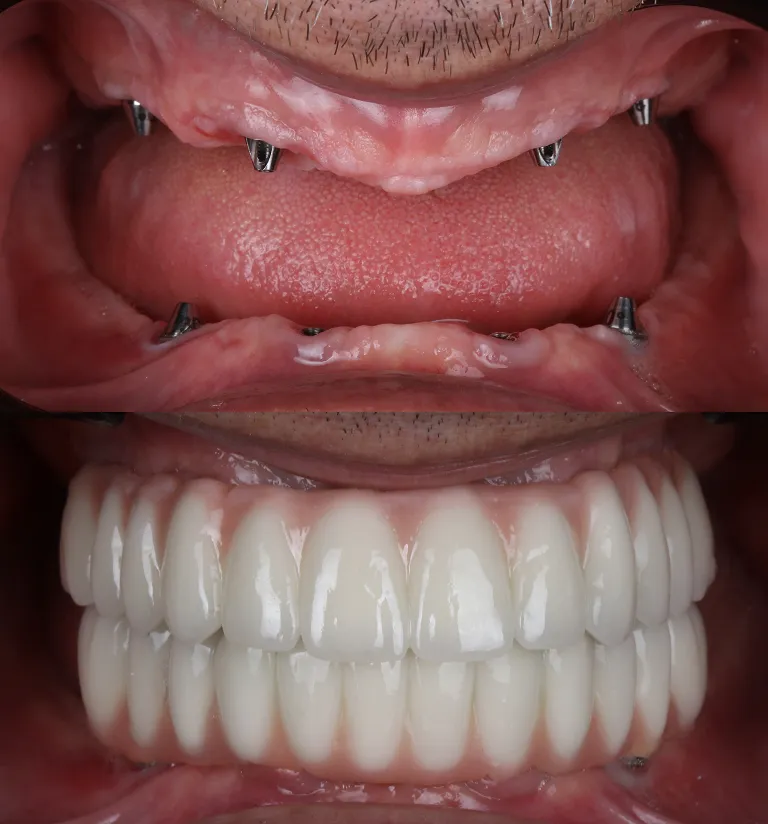
Types of Implant-Retained Dentures
- Removable Implant Dentures: These dentures snap onto dental implants and can be removed for cleaning.
- Fixed Implant Dentures: These are securely “bolted” to implants and can only be removed at our office.
We’ll help you choose the best option during a personalized consultation.
Who’s a Candidate for Implant Dentures?
At Royal Dental Care, we evaluate the following to determine candidacy:
- Jawbone density
- Gum health and hygiene habits
- Tobacco or alcohol use
- Existing medical/dental conditions
- Current medications
If you’re considering full mouth reconstruction or upgrading from traditional dentures, this could be the perfect fit.

Our Process for Implant-Supported Dentures
We complete the procedure in carefully timed phases:
- Preparatory Work: This may include tooth extractions or bone grafting.
- Implant Surgery: Performed in-office under local anesthesia. Typically, 2–6 implants are placed per arch.
- Healing Phase: A temporary denture is worn while the implants integrate with your jawbone.
- Final Placement: We attach your custom-made, permanent denture for a perfect, comfortable fit.
Benefits of Dental Implants + Dentures
Combining dentures with dental implants gives you the best of both worlds:
- Eat your favorite foods confidently
- Speak without worry of slippage
- Say goodbye to adhesive pastes
- Enjoy a long-term fit that lasts years
- Prevent bone loss and maintain facial shape
Interested in straighter teeth, too? Ask about our Invisalign clear aligners in Norridge.

FAQs – Implant-Supported Dentures
How much do implant dentures cost in Schaumburg?
The cost varies based on how many implants you need and the type of denture. We’ll provide a detailed treatment plan during your consultation.
Are these dentures permanent?
We offer both removable and fixed implant dentures. Fixed dentures are permanent and more stable.
How long does the process take?
Generally, 3–6 months from implant placement to final denture, depending on healing.
Do you serve areas near Schaumburg, like Hoffman Estates?
Yes! Our Schaumburg dental office proudly serves patients from Hoffman Estates, Elk Grove Village, and nearby communities.
Serving ZIP Code 60195 and Surrounding Areas
Looking for reliable, long-lasting implant dentures near Schaumburg or Norridge? Trust the experienced team at Royal Dental Care for personalized, advanced dental care.
Schedule Your Consultation Today
Don’t let loose dentures hold you back. Call today to schedule your consultation for implant-retained dentures in Schaumburg or Norridge, IL:
Norridge Office: (773) 232-3929
Schaumburg Office: (847) 999-7620























